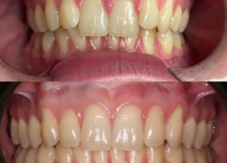
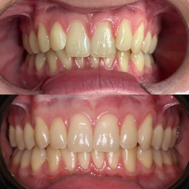
Kalvo-oikominen
Hellä, kivuton ja lähes huomaaamaton tapa oikoa hampaat



Yksilöllinen hoitosuunnitelma
Yksilöllinen suunnitelma ja yksilöllisesti valmistetut kalvot
Lähes huomaamaton tapa oikoa hampaat
Kalvot istuu hampaille huomaamattomasti eikä vaikeuta puhumista
Helppo pitää puhtaana
Uudet kalvot vaihtuu aina 1-2 viikon välein
FAQ
Mitä ovat oikomiskalvot?
Oikomiskalvoilla voidaan siirtää hampaita perinteisten 'rautojen' sijasta. Lähes huomaamattomat kalvot siirtää hyvin tarkkaan tehdyn tietokonesimulaation perusteella hampaat. Uudet kalvot vaihdetaan aina 7-14vrk välein.
Kuinka kauan hoito kestää?
Yleisin kesto oikomiselle on 7-8kk. Jos hampaat vaativat laajemman hoidon ja purennan rakentamisen, voi hoito kestää jopa useamman vuoden. Yksilöllinen suunnitelma tehdään aina hoidon alussa ja kesto voidaan yleensä arvioida jo ennen oikomisen aloitusta.
Miltä kalvot tuntuu suusssa?
Kalvot on lähes huomaamattomat. Luonnollisesti ne tuntuu suussa mutta niihin tottuu nopeasti ja yleenä potilaat 'unohtavat' että ne edes on suussa.
Voiko kalvojen kanssa syödä?
Ei. Kalvot tulee aina ottaa pois suusta syömisen ja juomisen ajaksi. Suositus on että vain vettä juodaan ne suussa. Muuten hampaat voi värjäytyä tai kalvojen alle voi mennä ruokaa joka estää niiden täydellisen istuvuuden ja voi jopa lisätä hampaiden reikiintymistä.
Kuinka paljon kalvoja tulee pitää?
Tavoite on että kalvoja pidetään 22 tuntia vuorokaudessa. Aina tämä ei tietenkään ole mahdollista; juhlat, pitäkät illalliset jne. Kalvot ei estä normaalia elämää ja potilasta aina informoidaan kuinka näiden tilanteiden kanssa muokataan kalvojen käyttöä.
Kuinka kalvot pidetään puhtaina?
Kalvot harjataan ilman hammastahnaa samalla kun hampaat pestään. Nykyään suositellaan ultraäänipesurin käyttöä; niitä on myös saatavana vastaanotoilta ostettavaksi.
Yhteystiedot
SMS ja WhatsApp viestit
© 2025. All rights reserved.
