
Hammasimplantti

Toimenpide
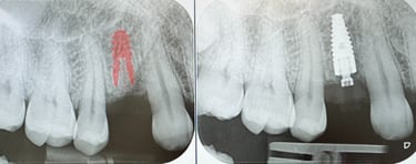
Pieni toimenpide jossa paikallispuudutuksessa asetetaan implantti poistetun hampaan tilanne. Yleensä pyritään implantti asettamaaan samassa toimenpiteessä kun hammas joudutaan poistamaan.
Edut
Implanttikantoisella hampaalla voidaa korvata puuttuva hammas niin että se tuntuu ja näyttää aidolta omalta hampaalta.
Oikein hoidettuna implanttihampaat ovat 'ikuisia'
Kotihoito


















Usein kysyttyjä kysymyksiä
Mikä on hammasimplantti?
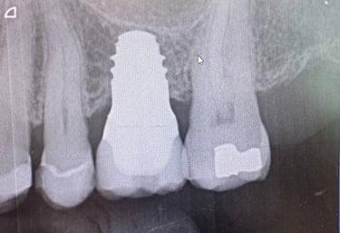
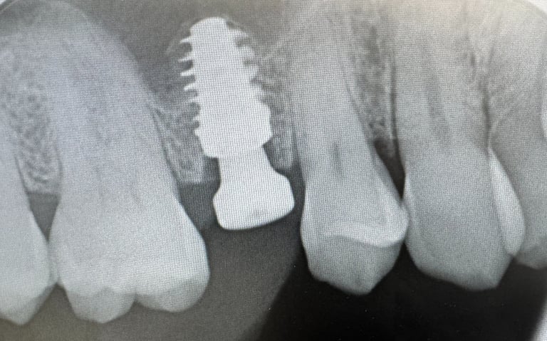
Hammasimplantti on titaaninen tai keraaminen 'ruuvi' joka asetetaan luuhun. Tämän varaan voidaan valmistaa yksilöllinen hammas.
Onko toimenpide kivulias?
Yleensä hoito on lähes kivuton. Laajemmissa ien- tai luusiirteissä, joita joskus tarvitaan, voi esiintyä kipua. Tähän kuitenkin määrätään riittävät kipulääkkeet ja yleisesti pyritään leikkaustekniikkaan joka on mahdollisimman kivuton.
Kuinka kauan kestää toipua toimenpiteestä?
Yleensä paraneminen kestää muutaman päivän. Urheilua ei suositella parin seuraavan päivän aikana leikkauksesta. Kokonaisuudessaan implantti on 8-12vk kohdalla täysin luutunut ja lopullinen hammas voidaan valmistaa.
Kenelle implanttihoidot soveltuu?
Implanttihoitoja voidaan tehdä lähes kaikille joilla yleisterveys on riittävä. Tästä keskustellana potilaan kanssa aina tarkkaan etukäteen ja selvitetään terveydentila, sairaudet ja lääkitykset.
Onko implanttihammas kestävä?
Oikein hoidettuina implantit on 'ikuisia'. Materiaali on erittäin kestävää titaania tai zirkoniaa; hammas yleensä tehdään kovasta keramiasta.
Kauanko pitää odottaa siitä kun hammas on poistettu ennen kuin voidaan asettaa implantti?
Yleensä aina ensisijainen vaihtoehto on että implantti asetetaan paikoilleen samassa toimenpiteessä kun hammas poistetaan. Tekniikat ja materiaalit on kehittyneet niin että enää ei tarvitse odottaa luun paranemista ennen implantointia. Jos hammas on jo poistettu niin 6-8vk kohdalla voidaan implantti asettaa tässä tilanteessa.
Mitä rakenteita voidaan korvata implattien avulla?
Hammasimplanttien avulla voidaan korvata yksittäisestä hampaasta koko hammaskaareen. Implanttien avulla voidaa tukea olemassa olevia proteeseja tai jopa päästä kokonaan eroon irroitettavista proteeseista ja palauttaa merkittävästi elämänlaatua kiinteillä hampailla jotka käytännössä toimivat kuin omat hampaat.
Mitä implanttihoito maksaa?
Yksittäisen implanttihoidon hinnat on alkaen 2200-2400€. Jos tarvitsee rakentaa luuta tai pehmytkudoksia niin näistä syntyy lisäkuluja luonnollisesti. Laajemmat hoitokokonaisuudet käydään aina potilaan kanssa läpi ennen hoitojen aloitusta ja kustannusarvio annetaan kirjallisena. Oral Hammaslääkärit tarjoaa ilmaisen implanttikonsultaation joka varattavissa tästä.
Onko väliä mikä implantti asetetaan luuhun?
Mielestäni kyllä. Ja siksi käytän vain Straumann -implantteja. Niiden avulla saadaan paras mahdollinen rakenne ennustettavalla luutumisella. Myös tärkeää on että tulevaisuudessa on osia tarvittaessa saatavana. Maailmassa on noin 600 eri implanttimerkkiä käytössä ja olen valinnut Straumann implantit juuri näistä syistä. Straumann implantit on olleet kymmeniä vuosia markkinoilla ja tutkimus niiden osalta on perusteellista.
Yhteystiedot
SMS ja WhatsApp viestit
© 2025. All rights reserved.
