Unelmienne hymy –
kivutonta hoitoa ja aitoa välittämistä
Yksittäisistä hammaspuutoksista kokoleuan implanttihoitoihin
Yksilöllistä hammashoitoa yhdessä potilaan kanssa suunnitellen
Kaunis hammasrivi lähes huomaamattomilla oikomiskalvoilla
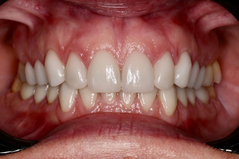
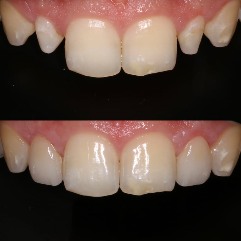
Esteettinen hammashoito

EHL Ville Kemilä
Protetiikan- ja purentafysiologian erikoishammaslääkäri.
Olen protetiikkaan ja purentafysiologiaan erikoistunut hammaslääkäri.
Hammaslääkäriksi valmistuin Oulun yliopistosta vuonna 2005
Erikoishammaslääkäriksi valmistuin Turun yliopistosta 2016.
Yksityishammaslääkärinä olen toiminut vuodesta 2006.
Erityisosaamiseeni kuuluvat:
esteettinen hammashoito, keraamiset laminaatit sekä etualueen paikkaukset kerrostusmuovitekniikalla
implanttihoidot
leukanivel- ja purentavaivat
hampaiden kruunutukset sekä hammassillat
purentalihasten BOTOX-hoidot
hampaiden oikomista olen tehnyt kalvotekniikolla vuodesta 2014 alkaen.
teen lisäksi perushammashoitoa
Protetiikan ohella olen tehnyt paljon kirurgiaa ja vastannut suurten kuntayhtymien kirurgiasta useamman vuoden ajan. Vaativatkaan kirurgiset toimenpiteet eivät ole ongelma.
Potilaat otan vastaan rennolla, mutta asiantuntevalla otteella. Pyrin aina yhdessä potilaan kanssa muodostamaan hoitosuunnitelman, jolla taataan kestävä ja esteettinen lopputulos hoidolle.
Seuraan hammashoidon kehitystä ja osallistun aktiivisesti jatkokoulutuksiin sekä Suomessa että ulkomailla. Toimin Key Opinion Leaderina ja kouluttajana Straumann implanteille Suomessa.
Pelkopotilaita olen vuosien saatossa hoitanut paljon ja kivuton hammashoito on aina lupaus!
Toinen äidinkieleni on englanti ja palvelua saa myös ruotsiksi.
Tervetuloa vastaanotolleni.
Jäsenyydet:
FINACAD (Finnish Academy of Computerized Dentistry), presidentti 2012-2013
ITI (International Team for Implantology)
Sensodynen TV-mainokset 2018 ja 2023








Palvelut
Laaja-alaista hammashoitoa moderneimmilla tekniikoilla ja välineillä
Esteettinen hammashoito


Suunnittelun apuna käytän kaikkein uusimpia tekniikoita (Smilecloud) jossa hampaat voidaan asettaa augmentoituna videoon potilaan kasvoista. Näin voidaan yhdessä ennen hoidon aloittamista miettiä mitä halutaan tehdä ja millaiset hampaat sopii hymyyn parhaiten. Aina pyritään yksilölliseen ratkaisuun.




Hammasimplantit
Vain paras on kyllin hyvää. Käytän vain Straumann iExcel implantteja, joiden osalta minulla oli kunnia olla pilottitestaajana Suomessa ennen kuin ne lanseerattiin myyntiin. Implanttien avulla voit päästä eroon irtoproteeseista!
Olen tehnyt kalvo-oikomista jo vuodesta 2014. Nykyään suurin osa hoidoista tehdään ClearCorrect kalvoilla. Oikomissuunnitelma voidaan myös tehdä augmentoituna videona potilaan kasvoista ennen hoidon aloitusta jotta saadaan suunnittelu tehtyä yksilöllisesti. Aina esteettinen lopputulos ja hyvä purenta lähes huomaamattomilla oikomiskalvoilla.
Kalvo-oikominen


Galleria






Usein kysyttyjä kysymyksiä
Onko hoito todella kivutonta?
Kyllä. Käytämme tehokkaita paikallispuudutuksia ja tavanomaista ohuempia neuloja. Selitän aina vaihe vaiheelta, mitä tehdään, ja kysyn jatkuvasti tuntemuksistanne. Modernit puudutustekniikat varmistavat, että kipua ei käytännössä tunnu. Puuduttaminen on tekniikkalaji ja sen ei todellakaan tarvitse tuntua kivuliaalta.
Mitä hoidot maksaa? Entä voinko maksaa erissä?
Hoitosuunnitelma räätälöidään tarpeidenne mukaan ja kerromme kustannusarvion selkeästi etukäteen. Voitte myös maksaa hoidot kätevästi osamaksulla omien toiveiden mukaisesti. Hoitoja voidaan myös usein ajallisesti jakaa pitkällekin ajalle. Aina kuitenkin mietitään yhdessä annetuista vaihtoehdoista se joka sopii parhaiten tilanteeseen.
Onko hoidoilla takuuta?
Kaikelle hammashoidolle annamme takuun. Muovitäytteille 1v, keraamisille rakenteille 2v, implanttikruunuille/-silloille 5v ja itse implanteille annamme ikuisen takuun
Yhteystiedot
SMS ja WhatsApp viestit
© 2025. All rights reserved.




